嚇死人的牙結石!!!
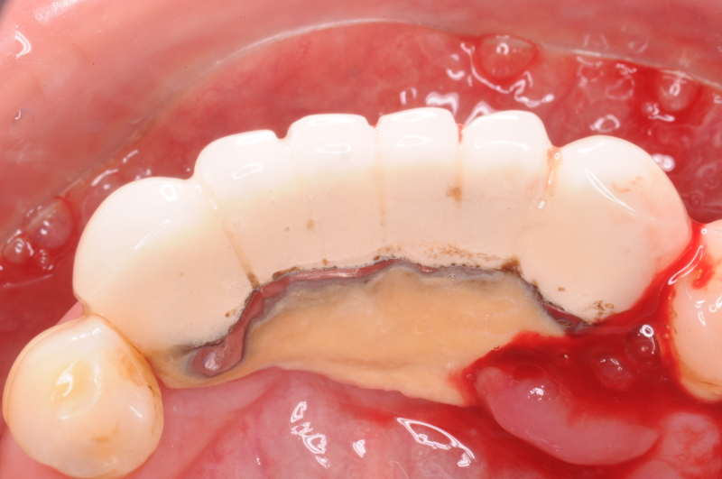
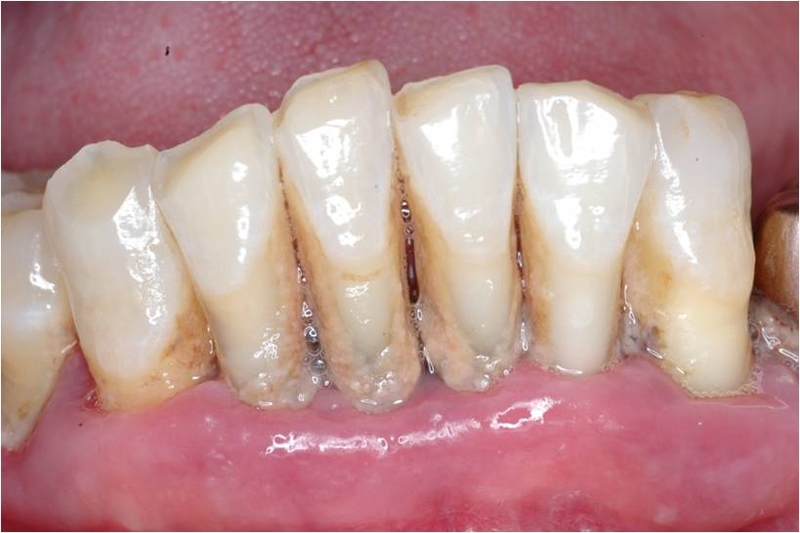
昨天,一位林博川醫師看了十幾年的患者來了。這十幾年來呢,該患者的口腔衛生都非常差。林博川醫師不厭其煩的在提醒這位患者刷牙的部分要加強加強再加強,但是這位患者不是刷得差而已唷,是非常非常差!那這次患者來的狀況是,全口的牙齦都又紅又腫,還佈滿了牙結石!!!

照片上黃黃的那片就是那恐怖的牙結石啊!但這位患者總是流浪在各牙醫診所。
每當要開始治療後,患者就不見了。牙齒出狀況了,就又出現了,他一直在尋找他”想要”的治療方法。

其實由上面這張環口片可以瞭解,患者有嚴重的牙周病,經林博川醫師的診斷,建議患者應將不可留的牙齒予以拔除,利用全口活動假牙或植牙的方式來重建。但是,患者堅持不考慮活動假牙,也不考慮植牙,患者只想保持現狀,試圖尋找他”想要”的治療方式。林博川醫師秉持著做為牙醫師多年的醫德與良知去告訴患者,若是患者想要擁有固定的牙齒,就必須只能是植牙而不是患者所想要的牙橋式的假牙了。
現在,不知道這位患者,又將流浪到哪裡了?









一般留言