要命的芒果乾之還我一顆牙!!

哇!這愛文芒果乾真好吃,再吃一片就好。

喀!(牙齒斷裂的聲音)

蛤~~~我的門牙~~~~

.

.

.



長像甜美的患者A小姐從事金融業。某日,A小姐的客戶為了答謝A小姐的幫助,送了A小姐一盒芒果乾禮盒,但就在A小姐開心享用之際,側門牙居然應聲斷裂。

緊急來到千代牙醫連鎖機構找到了林博川醫師,患者A小姐直接了當的說明因工作需要,必須馬上要有假牙來維持她的門面,但又不想要磨兩邊好的牙齒來做牙橋。經過討論,林博川醫師認為馬上拔牙馬上植牙的治療方式可行且最適合A小姐,就馬上為A小姐安排植牙手術時間。

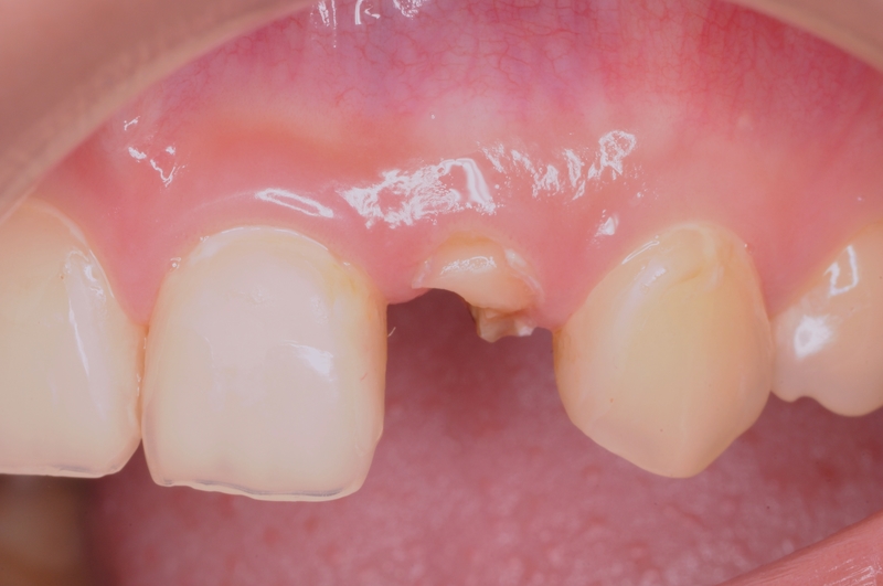
植牙當天,為了保留多一點的骨頭來增加植體的穩定性,林博川醫師先小心翼翼的將剩餘的牙根拔除(如下圖)


接著放上手術導板定位植體位置


放上植體


縫合,裝臨時假牙


等待三個月,待植體與齒槽骨骨整合後,裝上正式完成的全瓷牙冠囉!


你們看看,是不是真的很漂亮,分不出來哪顆是植牙做成的全瓷牙冠吧!

就這樣,總算是幫A小姐除了個心頭大患,既能夠好好的面對客戶也能好好的吃美食了!

術後,患者A小姐很感謝林博川醫師,為她做了這麼完美的手術。

未來,她將更有信心繼續吃,曾經是夢靨的芒果乾囉!!

相連文章

一般留言

發佈留言

發佈留言必須填寫的電子郵件地址不會公開。 必填欄位標示為 *