案例分享
有時候患者原本天生的牙齒就排列不好,或是歪斜,或是有縫隙,或是擠在一起。在做假牙前,當然是建議先做齒列矯正,把牙齒拉到正常的位置以後,再製作假牙,才能做出既美觀又好用的假牙。
但經常遇到的實際場景是,患者想解決缺牙的問題,卻不願意多花時間或預算去做矯正(正畸)牙齒。
這時在做假牙時,就會很頭痛,因為醫生要想方設法單獨利用假牙同時解決矯正的問題。
李小姐就是這麼一種狀況。
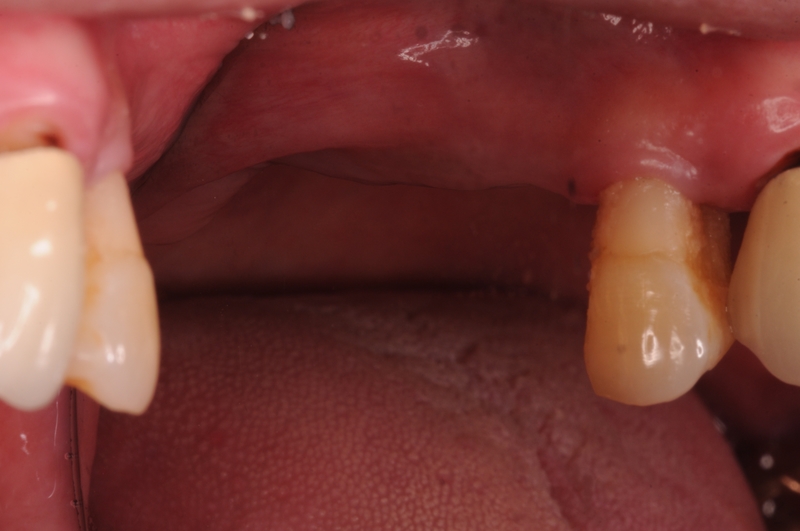
林博川醫師幫她植牙成功後,就面臨了牙齒排列不整齊的問題,會影響假牙的製作。第一次做出來的假牙角度和外型都不如人意,林醫師就決定重新製作。林醫師回到電腦上利用CAD/CAM重新調整假牙,然後請牙技師在模型上重新刻蠟型,再到李小姐口內試戴。
今天已經是第三次調整,總算是讓林醫師滿意的結果。
李小姐人很客氣,一直跟林博川醫師抱歉與道謝;她一直道歉說是因為自己的牙齒沒長整齊才讓我們一直重做,同時也感謝林醫師的用心。李小姐並特地致贈一些禮品給大家。
林醫師連忙說:「您太客氣了,您的牙齒確實是不好處理,但這是我們份內職責,我們才要感謝您的配合和體諒,讓我們可以把假牙做得更完美!」
———————————————-
咦?林醫師還在忙,小編先偷吃幾塊餅乾,好吃,呵呵!










一般留言